Tecnologie Avanzate dello Studio
Innovazione e professionalità per la salute dentale dei pazienti.


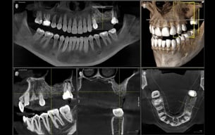
Radiologia, TAC ed Imaging 3D
Analisi dettagliate per trattamenti odontoiatrici precisi.






Implantologia Guidata
Tecnologie all'avanguardia per impianti dentali sicuri e duraturi.


Impronta Digitale con Scanner

L'impronta dentale digitale è più veloce, comoda, precisa e riduce il disagio rispetto al metodo con la pasta.
Sterilizzazione Automatica Certificata
La sterilizzazione in busta sigillata con registrazione e certificazione automatica assicura procedure sicure
Studio Odontoiatrico Mencarelli
Tecnologia avanzata per la tua salute dentale.
Servizi
Contatti
info@studiomencarelli.net
+39 0578 31266
© 2024. All rights reserved.